European Radiology

European Radiology is one of the leading European journals in the field of medical imaging, owned by the European Society of Radiology.

It publishes original articles and meta-analyses on clinical science and research, outcome and patient studies.

Social Media Editor: Brendan Kelly

European RadiologyEurRadiology
2024-12-04

πŸ€– Did you see our latest "On Artificial Intelligence" interview on the blog?

"Looking a decade ahead, I anticipate automation will extend to many tasks we currently handle manually. Regardless of the specific advancements, AI will enable us to spend more time collaborating with other healthcare professionals and engaging with patients, as Eric Topol aptly describes in Deep Medicine." - Tugba Akinci D’Antonoli

Have a look at the full article in the link below πŸ‘‡
buff.ly/3B2dOFX

European RadiologyEurRadiology
2024-12-04

This study compared three contrast-enhanced (CEM) systems, finding that one system outperformed the others, providing higher contrast-to-noise ratios (CNR) at lower radiation doses, while highlighting the variability in performance among dual-energy subtraction (DES) algorithms in CEM. (Gisella Gennaro et al.)

πŸ”— buff.ly/3AiTYWu

European RadiologyEurRadiology
2024-12-03

"I believe this type of AI implementation represents a promising direction for quality assurance in radiology. Since these systems can run in the background, they could become integrated as a safety net to mitigate diagnostic errors." - Laurens Topff

Read it now on the blog πŸ‘‡
buff.ly/4fMLvu9

European RadiologyEurRadiology
2024-12-03

Adriano B. Dias & Sangeet Ghai explore the ability of prostate MRI characteristics to predict pathological upgrades in patients under active surveillance, highlighting the critical role that MRI plays in risk stratification and management decisions for patients.

Commentary πŸ‘‰ rdcu.be/d1MUd
Original Article πŸ‘‰ buff.ly/4dvfcxG

European RadiologyEurRadiology
2024-12-03

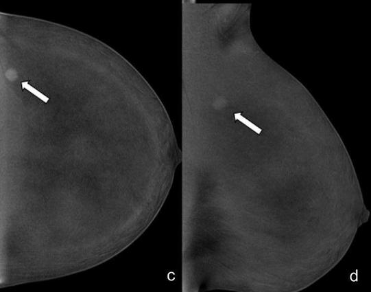
Misdiagnosis in breast imaging can delay treatment, cause unnecessary procedures, and erode patient trust, leading to worse prognosis and raise healthcare costs.

How do we address this? Accurate imaging, continuous education, and clear communication among providers are key to minimizing risks and improving patient care. (Isabelle Thomassin-Naggara et al.)

πŸ”— buff.ly/4fHjHHw

European RadiologyEurRadiology
2024-12-02

Hugues G. Brat et al. developed and validated a novel algorithm for personalized contrast injection in abdominal CT, achieving consistent liver enhancement at 50 HU. This approach may have positive implications for diagnostic accuracy and patient management.

πŸ”— buff.ly/4eT00vg

European RadiologyEurRadiology
2024-12-02

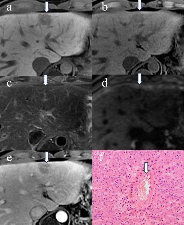
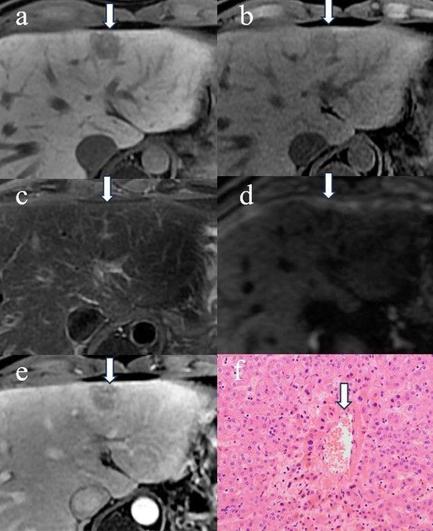
A study on gadoxetic acid-enhanced MRI of benign hepatic lesions following chemotherapy showed distinctive imaging features. Early-term lesions often resolved spontaneously, while late-term FNH-like lesions may grow in size and number. (Yiqi Wang et al.)

πŸ”— buff.ly/498ePZF

European RadiologyEurRadiology
2024-11-29

Mustafa Ahmed Mahmutoglu et al. developed and trained an artificial neural network (ANN), testing it on a dataset, with the goal of removing facial features for CTA scans by automatically generating facemasks.

πŸ”— buff.ly/3Z0Hj2J

European RadiologyEurRadiology
2024-11-29

πŸ•―οΈ Join us over the next four weeks as we celebrate !

πŸ•―οΈ Each week starting December 1st, we'll take a deep dive into an article from the family chosen by our Social Media Editorial Team, providing expert insight into some of our most popular articles published in our three journals!

Stay tuned...



European RadiologyEurRadiology
2024-11-29

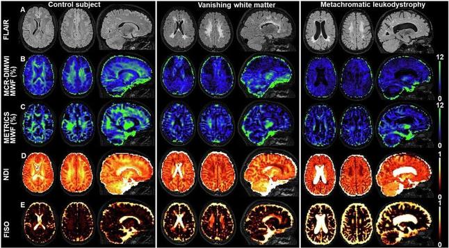
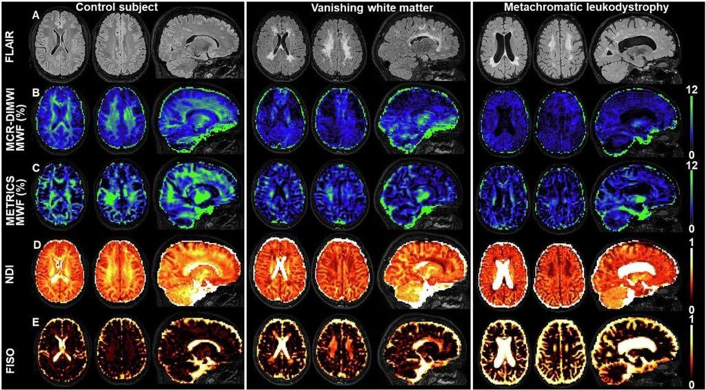
Join Loukas G. Astrakas as he dives into the future of leukodystrophy diagnosis, exploring the potential of new techniques, including quantitative MRI (qMRI). Could the integration of qMRI improve our diagnosis, monitoring, and treatment of patients with leukodystrophies?

Commentary πŸ‘‰ rdcu.be/d00eZ
Original Article πŸ‘‰ buff.ly/3U4UrCj

European RadiologyEurRadiology
2024-11-28

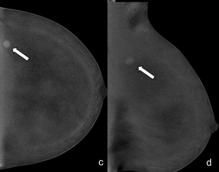
A study on inter-reader agreement of the breast imaging reporting and data system (BI-RADS) contrast-enhanced (CEM) lexicon found moderate to substantial agreement for most features, with lower agreement for non-mass enhancement and enhancing asymmetry. (Calogero Zarcaro et al.)

πŸ”— buff.ly/3OqsjpP

European RadiologyEurRadiology
2024-11-28

Mihaela Rata et al. explore the potential of MR fingerprinting (MRF) in quantifying treatment response by evaluating the repeatability of MRF-derived T1 and T2 relaxation times in bone metastasis, bone, and muscle in 20 metastatic patients. MRF allowed repeatable T1 and T2 measurements, which may help quantify treatment response.

πŸ”— buff.ly/3V4kOZz

European RadiologyEurRadiology
2024-11-27

This -based method for automated kidney measurements from CT images demonstrated excellent reliability and accuracy in segmentation and quantitative assessments, matching the performance of a human in both contrast-enhanced and noncontrast CT images. (Konstantinos Koukoutegos et al.)

πŸ”— buff.ly/410VmIb

European RadiologyEurRadiology
2024-11-27

Ryan Donnelly et al. explore the diagnostic performance and prognostic value of FDG-PET/CT in cases of suspected pulmonary sarcoidosis.

πŸ”— buff.ly/4cmQRK8

European RadiologyEurRadiology
2024-11-27

A systematic review & meta-analysis of Node-RADS showed strong diagnostic performance for lymph node malignancy assessment on CT and MRI, with an increasing malignancy probability along higher category. However, inter-observer reliability remains a concern and may hinder implementation in clinical practice. (Jingyu Zhong et al.)

πŸ”— buff.ly/3OhgpPl

European RadiologyEurRadiology
2024-11-26

Johanna Pape et al. compared the performance of three -assisted programs for bone age (BA) determination, including , , and . All three AI programs were comparable in their ability to predict BA showing high reliability.

πŸ”— buff.ly/3V3JSQx

European RadiologyEurRadiology
2024-11-26

Last week, the "Eternal City" played host to the ESR's Annual Leadership Meeting, where our Editors-in-Chief discussed the state of their respective journals alongside Marc Dewey, Chair of the ESR Publications Committee, and Ioana Gheonea, Chair of the Young ESR Committee.




European RadiologyEurRadiology
2024-11-26

This study looks at VET-Net, a (DL) model used to estimate proton density fat fraction (PDFF) from chemical shift encoded (CSE) MR images. Juan P. Meneses et al. determined that it was able to outperform conventional DL methods, offering improved unbiased and reproducible measurements in liver imaging.

πŸ”— buff.ly/3CPJv5y

European RadiologyEurRadiology
2024-11-25

This new study by Audrey Lavielle et al. shows that brain T1 maps can be derived from T1-weighted acquisitions. Moreover, the authors concluded that the T1 measurement technique can be used in patients with multiple brain metastases.

πŸ”— buff.ly/3YYptNJ

European RadiologyEurRadiology
2024-11-25

🚨 Only one more week to go!🚨

Make sure to get your applications in for our coveted fellowships by Sunday, December 1st!

πŸ’» Click the links below to apply today:

Albert L. Baert Editorial Fellowship
buff.ly/3Yv5Nlw

Yves Menu Review Fellowships
buff.ly/4hdHDDp

Client Info

Server: https://mastodon.social
Version: 2025.07
Repository: https://github.com/cyevgeniy/lmst