NHS offering three Covid drugs as 'more infectious' Nimbus strain spreads
https://fed.brid.gy/r/https://www.mirror.co.uk/news/health/nhs-offering-three-covid-drugs-36031124
NHS offering three Covid drugs as 'more infectious' Nimbus strain spreads
https://fed.brid.gy/r/https://www.mirror.co.uk/news/health/nhs-offering-three-covid-drugs-36031124
Fact alert đ: 2025 scientific findings substantiate a link between nanoplastics (from plastics such as polystyrene) and Parkinsonâs disease, via a dual mechanism impacting alpha-synuclein aggregation and neuronal lysosomal dysfunction. At #FACTOVATE, we highlight such critical intersections of environmental exposure and neurodegeneration. #FACTOVATE #ParkinsonsDisease #Nanoplastics #EnvironmentalToxicology #NeurodegenerativeDisorders
https://factovate.com/plastic-waste-link-to-parkinsons-disease
Zydus focuses on holistic Parkinsonâs care, combining medication, therapy, and patient support for better quality of life.
#parkinsonsdisease #Zydus #healthcare #patientcare #NeurologyCare
Read blog for more information- https://zydushospitals.com/blog/beyond-medication-zydus-approach-to-parkinsons-care
Must-watch TV this week: Frauds, Celebrity Traitors and Countryfile's Ramble
Ever noticed a loved oneâs hand tremble or their movements slow down over time? Parkinsonâs Disease is more than just âshakingâ â itâs a complex condition that affects both the body and mind.
Whether youâre a caregiver, patient, or simply curious, this guide makes Parkinsonâs easier to understand.
https://drchetandhongade.com/science-and-medicine/parkinsons-disease/
#ParkinsonsDisease
#BrainHealth
#Neurology
#MedicalResearch
#Caregiving
#ChronicIllness
#HealthAwareness
#WellnessJourney
#MovementDisorders
#DrChetanDhongade
Ozzy Osbourne told Sharon his heart-wrenching 'plan' just days before his death
https://fed.brid.gy/r/https://www.mirror.co.uk/tv/ozzy-osbourne-told-sharon-heart-36004915
Great 1-minute eye-opener pitch by Ioana Ilie (video in English) on the importance of her group's research into addressing neurodegenerative diseases like #ParkinsonsDisease and #Alzheimer using computational technologies and AI!
https://www.eye-openers.nl/nl/seethecast/ioana-m-ilie/
#Chemistry #DrugDiscovery
Great 1-minute eye-opener pitch by Ioana Ilie (@biosim-lab.bsky.social, video in English) on the importance of her group's research into addressing neurodegenerative diseases like #ParkinsonsDisease and #Alzheimer using computational technologies and AI!
www.eye-openers.nl/nl/seethecas...
#Chemsky
Ioana M. Ilie - Wanneer de her...
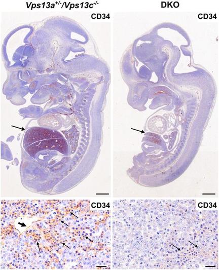
VPS13A & VPS13C are lipid transport proteins linked to #ChoreaAcanthocytosis & #ParkinsonsDisease. This study shows that mice lacking either protein are viable but absence of both results in defective #hematopoiesis & lethality @PLOSBiology https://plos.io/46rTEAy
đ¨ Breakthrough in #ParkinsonsDisease research! Scientists have developed a promising new stem cell therapy that could improve movement symptoms by replacing lost nerve cells. A hopeful step towards better treatments for millions affected worldwide. đĄđ§ Read more: https://www.themirror.com/news/health/parkinsons-disease-breakthrough-after-scientists-267113 #NeuroScience #HealthInnovation #newz Parkinsons
Robert Mueller Has Parkinsonâs Disease, Family Says
Robert S. Mueller III, the former special counsel who investigated ties between President Trumpâs campaign and Russia, wasâŚ
#NewsBeep #News #Headlines #FederalBureauofInvestigation #JusticeDepartment #Mueller #Parkinsonsdisease #RobertSIII #RussianInterferencein2016USElectionsandTiestoTrumpAssociates #SpecialProsecutors(IndependentCounsel) #UnitedStates #UnitedStatesPoliticsandGovernment #Us #USA
https://www.newsbeep.com/95426/
'Parkinson's diseaseâlinked Kir4.2 mutation R28C leads to loss of ion channel function' - an article in the Journal of #Physiology on #ScienceOpen:
đ https://www.scienceopen.com/document?vid=ca9adf46-7161-460f-acd6-140774e62eb4
#Pathophysiology #ParkinsonsDisease #Kir4_2 #IonChannels #IonChannelopathy #GeneticMutation #MolecularNeuroscience
If youâve been feeling dizzy, unsteady, or like the floor is shifting under you, itâs not necessarily clumsinessâit could be your brain and nervous system playing a bigger role than you realize.
https://retroworldnews.com/common-neurological-disorders-that-cause-balance-problems/
#NeurologicalDisorders #BalanceProblems #HealthAwareness #Neurology #Dizziness #VestibularDisorders #ParkinsonsDisease #MultipleSclerosis #StrokeRecovery #BrainHealth #FallPrevention #PhysicalTherapy #NeuroRehabilitation #CognitiveHealth #ChronicIllness #PatientEducation
#ParkinsonsDisease #EnvironmentalToxins #BrainHealth #Neurology #Mitochondria #Trichloroethylene #EnvironmentalHealth #Podcast #Science #wellbeingwisdom #wellbeingworrior #wellnessjournal #wellbeingcoaching #wellnessguide #wellnessvibes #Research https://mastodon.social/@biohackingpathway/114987919579928114
'Frustrating, disappointing': Parkinson's community still campaigning for a nurse
By Rosie King
Canberra's Parkinson's community has long been campaigning for the ACT government to employ a specialist Parkinson's nurse who can visit patients at home. The ACT government says planning is underway to create the position but a start date has yet to be confirmed.
#TheMetalDogArticleList
#BraveWordsâWhereMusicLives
Parkinsonâs Foundation CEO Pays Tribute To OZZY OSBOURNE â âA Reminder Of The Resilience And Strength That Members Of The PD Community Showâ
#OzzyOsbourne #ParkinsonsFoundation #JohnLLehr #BlackSabbath #ParkinsonsDisease #PDCommunity #HeavyMetal #MetalLegend #Resilience #Strength
đ§ Did Parkinsonâs disease really kill Ozzy Osbourne? Or was it just a chapter in a larger, darker story?
From tremors to cutting-edge treatments, discover the real truth behind Parkinsonâs â and what Ozzy's battle teaches us all. âĄ
đ§Ź Donât miss the revealing facts, survival risks & breakthrough therapies that could change the future of PD.
#OzzyOsbourne #ParkinsonsDisease #HealthAwareness #MedicalTruths #ParkinsonsDiseasePrevention #EarlySymptomsOfPD
#TheMetalDogArticleList
#MetalSucks
Geezer Butler: Ozzy Was âThe Prince Of Laughterâ to Me
'The love from the fans and all the bands, musicians, singers and solo artists that night was incredible.' Geezer Butler: Ozzy Was âThe Prince Of Laughterâ to Me .
https://www.metalsucks.net/2025/07/28/geezer-butler-ozzy-was-the-prince-of-laughter-to-me/
#GeezerButler #OzzyOsbourne #BlackSabbath #PrinceOfLaughter #BackToTheBeginning #ParkinsonsDisease #MetalLegacies
#TheMetalDogArticleList
#MetalSucks
Geezer Butler: Ozzy Was âThe Prince Of Laughterâ to Me
'The love from the fans and all the bands, musicians, singers and solo artists that night was incredible.' Geezer Butler: Ozzy Was âThe Prince Of Laughterâ to Me .
https://www.metalsucks.net/2025/07/28/geezer-butler-ozzy-was-the-prince-of-laughter-to-me/
#GeezerButler #OzzyOsbourne #BlackSabbath #PrinceOfLaughter #BackToTheBeginning #ParkinsonsDisease #MetalLegacies
#TheMetalDogArticleList
#Blabbermouth
Watch: GLENN TIPTON Rejoins JUDAS PRIEST On Stage In London During Summer 2025 European Tour
#GlennTipton #JudasPriest #TheO2London #LivingAfterMidnight #Firepower #ParkinsonsDisease #Summer2025Tour #EuropeanTour #MetalLegends #HeavyMetal