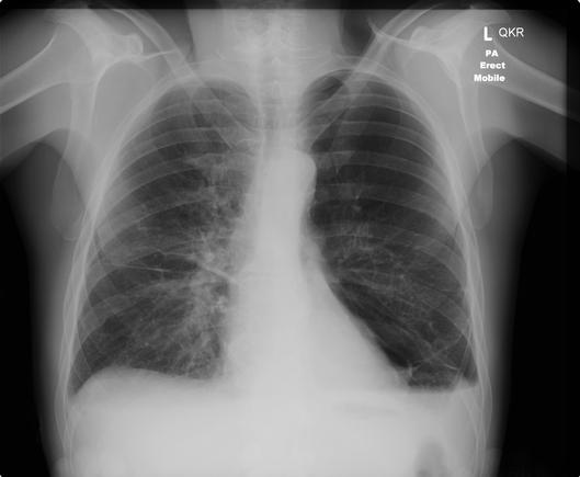
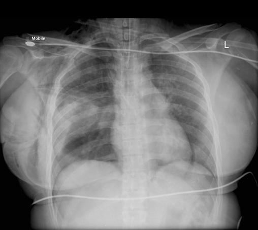
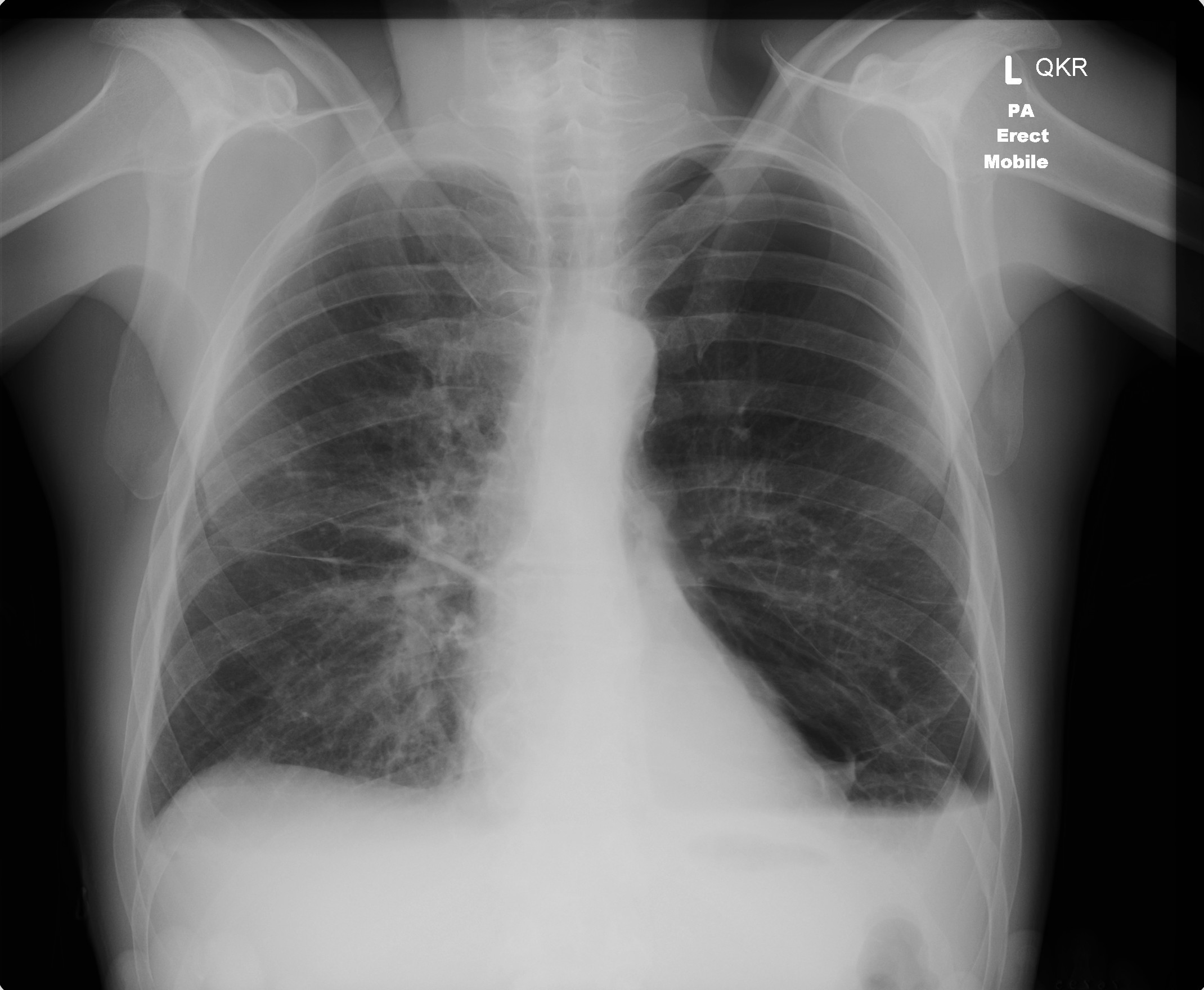
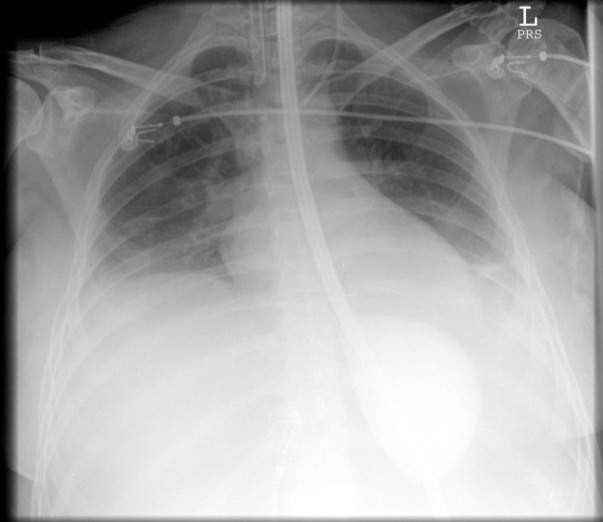
A critically ill 45 year old woman is intubated in the ICU. A procedure is performed and the following test is conducted
What was the procedure?
https://osler.app.link/f9ZienD7Exb
#medtwitter #meded #tipsfornewdocs #FOAMed #FOAMcc #intensivecare #ICU #intensivist #criticalcare #criticalcaremedicine #juniordoctors #juniordocs #medstudenttwitter #medstudents #medmastodon





