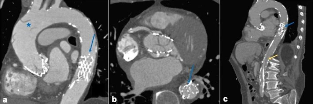
Bệnh viện Đa khoa Tâm Anh TP.HCM chính thức làm chủ kỹ thuật TAVI – cấy van động mạch chủ qua ống thông, trở thành Trung tâm độc lập thực hiện kỹ thuật này sau khi được 2 tập đoàn y khoa hàng đầu Hoa Kỳ công nhận. Kỹ thuật TAVI là can thiệp tim mạch cấp cao, ít xâm lấn, giúp bệnh nhân hẹp van động mạch chủ nặng tránh phẫu thuật mở tim. Thành tựu đạt được chỉ trong 4 tháng thể hiện bước tiến mạnh mẽ của y học Việt Nam.
#TAVI #TimMach #CanThiepTim #BenhVienTamAnh #YHocVietNam #Cardiology #Vietn






