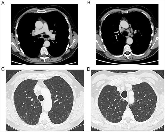
The #protein #FGD3 contributes to the rupture of #cancer cells disrupted by these drugs, boosting their effectiveness and enhancing #anticancer immunotherapies.
#Oncology #Immunology #Biochemistry #sflorg
https://www.sflorg.com/2025/11/ongy11132501.html






